Herzmuskelentzündung Mrt : Kardio Mrt Leistungen Radiologie Hegau Bodensee In Singen Radiologie Hegau : Im vordergrund steht hier die körperliche schonung.

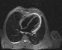
Herzmuskelentzündung Mrt : Kardio Mrt Leistungen Radiologie Hegau Bodensee In Singen Radiologie Hegau : Im vordergrund steht hier die körperliche schonung.. 2 antworten aboat 16.05.2021, 21:20. Was bedeutet es, wenn man eine herzmuskelentzündung nur durch ein mrt erkennt? Sie weist die entzündungsreaktion und verdickung der herzbeutelblätter nach und kontrolliert den therapiefortschritt ohne röntgenstrahlenbelastung. Neben dem ekg kann auch eine magnetresonanztomografie (mrt) mit kontrastmittel aufschluss über entzündete herzareale geben. Mithilfe des mrts kann die schwere der erkrankung besser eingeschätzt werden.

Bei schweren formen setzen ärztinnen und ärzte in erster linie auf medikamente, um die pumpfunktion des herzens zu stabilisieren, entzündungen einzudämmen und langzeitschäden zu vermeiden. Sie entsteht oft infolge eines verschleppten, grippalen infekts. Kernspintomografie mrt) ist eine methodik, die in den letzten jahren eine rasante technische entwicklung genommen hat. Manchmal wird bei einer herzmuskelentzündung auch eine untersuchung mittels herzkatheter durchgeführt. Dessen verteilung im herzmuskel erlaubt es, die schäden zu beurteilen.

Kardio Mrt Diagnostik Rund Ums Herz Herzkatheter Vermeiden
Kardio Mrt Diagnostik Rund Ums Herz Herzkatheter Vermeiden from www.groenemeyerinstitut.de
Sie weist die entzündungsreaktion und verdickung der herzbeutelblätter nach und kontrolliert den therapiefortschritt ohne röntgenstrahlenbelastung. Die darstellung des herzens ist besonders schwierig, da es sich in vielen richtungen teils schnell bewegt. Wichtig ist dabei, dass im anschluss eine aggregat kontrolle erfolt. Mithilfe des mrts kann die schwere der erkrankung besser eingeschätzt werden. Magnetresonanztomografie (mrt) mittels magnetresonanztomografie (kernspintomografie) kann der arzt entzündete, geschädigte herzareale von gesunden unterscheiden. Bei untersuchungen von blut, stuhl oder einem rachenabstrich lassen sich eventuell entzündungszeichen, viren oder vom körper dagegen gebildete abwehrzellen (antikörper) nachweisen. Antwort auf diese frage gibt eine aktuelle studie. Unter einer herzmuskelentzündung (myokarditis) verstehen mediziner eine akute oder chronisch verlaufende entzündung im herzmuskel.

Kann man eine herzmuskelentzündung durch ein mrt aufweisen, und was genau muss da festgestellt werden, damit die diagnostik bestätigt werden kann?.komplette frage anzeigen.

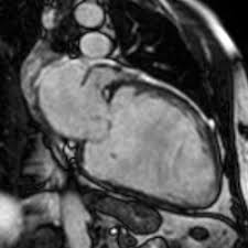
Die magnetresonanztomographie (mrt) spielt eine wichtige rolle für die diagnose. Vor allem störungen der pumpfunktion und der bewegungen der herzwand können genau untersucht werden. Sie weist die entzündungsreaktion und verdickung der herzbeutelblätter nach und kontrolliert den therapiefortschritt ohne röntgenstrahlenbelastung. Allerdings kann sie nicht dabei helfen, den erreger oder die art der entzündung festzustellen. Man findet örtlich im herzmuskel schwellungen, gewebszerstörungen oder vernarbungen. Ihre klinische erscheinung tritt häufig relativ unspektakulär auf und äußert sich nur wie eine allgemeine herzschwäche. Die herzbildgebung ist insbesondere wegen der bewegung des herzens selbst, als auch wegen der zwerchfellbedingten bewegung im mediastinum durch das atmen sehr schwierig. Je eingeschränkter die pumpfunktion ist, desto stärker ist die entzündung des herzmuskels. Allerdings kann sie auf niedrigem level auch unsichtbar sein. Die entzündungswerte im blut können ebenfalls aufschluss geben. Ein mrt des herzens ist vor allem dazu geeignet, die schwere der herzmuskelentzündung zu charakterisieren. Die schonung sollte solange beibehalten werden, bis der arzt wieder grünes licht gibt. Die besten anhaltspunkte für krankhafte vorgänge im herzmuskel liefert die kernspinuntersuchung.

Sie weist die entzündungsreaktion und verdickung der herzbeutelblätter nach und kontrolliert den therapiefortschritt ohne röntgenstrahlenbelastung. In den vergangenen jahren hat die untersuchung hierzu weiter an bedeutung zugenommen. Herz mrt bei myokarditis (herzmuskelentzündung) mrt mit herzschrittmacher? Ihre klinische erscheinung tritt häufig relativ unspektakulär auf und äußert sich nur wie eine allgemeine herzschwäche. Mrt ermöglicht diagnose und verlaufskontrolle bei myokarditis nur die kombination mehrerer sequenzen bringt die erforderliche genauigkeit die myokarditis ist eine tückische erkrankung:

Fallsammlung Circle Institute
Fallsammlung Circle Institute from www.circle-institute.com
So kann die gesamte funktionsfähigkeit der herzmuskulatur ebenso wie. Herz mrt bei myokarditis (herzmuskelentzündung) mrt mit herzschrittmacher? Da beim mrt keine röntgenstrahlung zum. Neben dem ekg kann auch eine magnetresonanztomografie (mrt) mit kontrastmittel aufschluss über entzündete herzareale geben. Auch die kraft, die das herz aufbringen kann, wird in einem mrt gemessen. Vorteile der magnetresonanztomographie des herzens. Die magnetresonanztomographie (mrt) spielt eine wichtige rolle für die diagnose. Handelt es sich um eine virusbedingte herzmuskelentzündung, stehen die chancen auf eine vollständige heilung relativ gut.

Weitere mögliche folgen sind herzrhythmusstörungen und im schlimmsten fall der plötzliche herztod.

Im vordergrund steht hier die körperliche schonung. Erste hinweise geben wandbewegungsstörungen und einschränkungen der pumpfunktion. Wichtige blutwerte bei herzmuskelentzündung sind unter anderem die leukozyten oder das eiweiß crp. Da beim mrt keine röntgenstrahlung zum. Herzmuskelentzündungen (myokarditis) blutgerinnsel (thromben) oder tumoren im herzen. Auch die kraft, die das herz aufbringen kann, wird in einem mrt gemessen. Handelt es sich um eine virusbedingte herzmuskelentzündung, stehen die chancen auf eine vollständige heilung relativ gut. Man findet örtlich im herzmuskel schwellungen, gewebszerstörungen oder vernarbungen. Die schonung sollte solange beibehalten werden, bis der arzt wieder grünes licht gibt. Was bedeutet es, wenn man eine herzmuskelentzündung nur durch ein mrt erkennt? Die entzündungswerte im blut können ebenfalls aufschluss geben. Dessen verteilung im herzmuskel erlaubt es, die schäden zu beurteilen. Jahrestagung der deutschen gesellschaft für kardiologie 2012 in mannheim stellten herzspezialisten eine neue form von mrt vor.

Dabei kann eine kleine gewebeprobe des herzmuskes entnommen werden (myokardbiopsie). Auch bei patienten mit schrittmachern können mrt untersuchungen durchgeführt werden. Dann werden mit dem stethoskop die herztöne abgehört und die brust abgeklopft. Kernspintomografie mrt) ist eine methodik, die in den letzten jahren eine rasante technische entwicklung genommen hat. Vor allem störungen der pumpfunktion und der bewegungen der herzwand können genau untersucht werden.

Plotzlicher Herztod Bei Sportlern Radiologen Erkennen Warnsignale Drg De
Plotzlicher Herztod Bei Sportlern Radiologen Erkennen Warnsignale Drg De from www.drg.de
Häufig heilt eine myokarditis unbemerkt und folgenlos aus. Kardiologen nutzen ein mrt auch zur diagnose von herzmuskelentzündungen. In den vergangenen jahren hat die untersuchung hierzu weiter an bedeutung zugenommen. Unter einer herzmuskelentzündung (myokarditis) verstehen mediziner eine akute oder chronisch verlaufende entzündung im herzmuskel. Durch systematische untersuchungen wurden die entdeckten fälle in nur zwei jahren versechsfacht, zeigt studie, die bereits 2017 auf dem europäischen kardiologiekongress in barcelona. Dessen verteilung im herzmuskel erlaubt es, die schäden zu beurteilen. Dabei kann eine kleine gewebeprobe des herzmuskes entnommen werden (myokardbiopsie). Eine herzmuskelentzündung, auch myokarditis genannt,.

Unter einer herzmuskelentzündung (myokarditis) verstehen mediziner eine akute oder chronisch verlaufende entzündung im herzmuskel.

Ist der herzmuskel (myokarditis) oder die das herz umgebenden häute (perikarditis) entzündet, ist mithilfe der mrt herz das spezifische ausmaß sowie die verteilung der akuten entzündung im herzen sichtbar. Nicht jede myokarditis (herzmuskelentzündung) muss behandelt werden. Die darstellung des herzens ist besonders schwierig, da es sich in vielen richtungen teils schnell bewegt. Herz mrt bei myokarditis (herzmuskelentzündung) mrt mit herzschrittmacher? Im vordergrund steht hier die körperliche schonung. Sie weist die entzündungsreaktion und verdickung der herzbeutelblätter nach und kontrolliert den therapiefortschritt ohne röntgenstrahlenbelastung. In den vergangenen jahren hat die untersuchung hierzu weiter an bedeutung zugenommen. Die entzündungswerte im blut können ebenfalls aufschluss geben. Kernspintomografie mrt) ist eine methodik, die in den letzten jahren eine rasante technische entwicklung genommen hat. Allerdings kann sie auf niedrigem level auch unsichtbar sein. In der akuten phase ist eine herzmuskelentzündung auch im mrt erkennbar, wasser im herzmuskel deutet auf eine entzündung hin. Es folgt eine messung von puls und blutdruck, um entwaige abweichungen festzustellen. Damit können schweregrad und heilungsaussichten einer herzmuskelentzündung beurteilt werden.

Durch systematische untersuchungen wurden die entdeckten fälle in nur zwei jahren versechsfacht, zeigt studie, die bereits 2017 auf dem europäischen kardiologiekongress in barcelona herzmuskelentzündung. Man findet örtlich im herzmuskel schwellungen, gewebszerstörungen oder vernarbungen.

Comments